Se pudesses ver
o corpo por dentro
poderias ver
os pólipos a surgir
no intestino
a próstata a aumentar
de tamanho
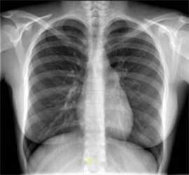
a sombra no pulmão
a crescer e a recolher
com a respiração
o muco a escorrer
pela garganta
mas quando
o coração se apercebesse
que o estavas a ver
talvez disparasse
a correr
PML


















